2021. 1. 16. 11:33ㆍ카테고리 없음

이갈이 고치는 방법
턱은 사람의 얼굴 중 코와 입을 포함한 중앙부터 아래쪽 부분을 말한다고 한다. 턱은 머리뼈에 고정된 상악골과 머리뼈와 관절 형태로 연결되어 움직이는 하악골로 구성됐으며, 턱뼈의 좌우는 아래턱과 위턱을 연결하는 관절과 근육과 함께 수 많은 신경이 자리하고 있다고 한다.
아래턱뼈 주변에는 3개의 큰 침샘이 있는데, 양쪽 턱관절 부근에 가장 큰 귀밑샘이 있고 턱밑샘과 혀밑샘이 있다고 한다.






이렇게 턱뼈 주변에는 다양한 기관이 위치해, 만일 턱뼈에 문제가 발생하면 턱관절 통증은 물론, 씹는 기능과 소화 기능까지 영향을 주고 뒷목통증, 어깨통증, 두통, 뒷골이 땡기는 이유, 삼차신경통, 침샘비대증, 안면비대칭의 이유가 되기도 한다고 한다.
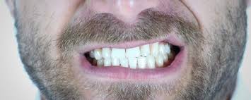
턱관절 질환은 나이와 성별을 불문하고 누구에게나 발생할 수 있는데, 대부분은 잘못된 생활습관이나 수면 중 발생하는 이악물기 이갈이가 원인이 되는 경우가 많다고 한다.






이에 대해 턱관절 통증 치료병원 한 원장은 “턱관절에 문제가 발생하면 두통을 비롯해 후부신경통, 치통, 잇몸통증, 이명, 어지럼증, 안구통, 귓속통증 등 신체 곳곳의 원인을 할 수 없는 다양한 통증이 발생할 수 있다”며, “통중질환으로 병원을 찾는 환자들의 턱관절CT를 찍어보면 실제 턱관절 뼈가 갈리고 녹아있는 상태인 것을 쉽게 확인할 수 있는데, 심각한 경우 거북목, 일자목으로 목뼈가 틀어지면서 척추, 골반까지 틀어지고 불안, 우울, 공황장애를 겪는 만성통증 및 몸 한쪽만 아픈 신경통, 또는 온몸 근육통인 섬유근육통, 근막통증, 만성피로증후군 등을 진단받는 사례도 많다”고 설명했다.
따라서 턱관절소리와 같은 자각증상을 발견했다면 전문병원에서의 빠른 진단 및 치료를 좋다고 한다.






턱관절질환 치료방법에는 ‘신경차단술’이 있는데, 신경차단술은 인체에 통증을 유발하는 턱통증유발점을 제거해 목, 어깨, 승모근을 급속 이완시키고 이로 인해 생긴 연관통증(방사통)과 외모변화를 치료하는 방법이라고 한다.
턱관절질환으로 인한 대표적인 외모변화는 얼굴좌우 대칭이 깨지는 안면비대칭, 하관이 넓어지는 사각턱, 입으로 숨을 쉬면서 발생하는 볼꺼짐을 동반하는 얼굴변형, 귀밑 또는 턱밑부기와 함께 입냄새가 심해지는 침샘비대증 등이 있다고 한다.
비절개/비수술의 신경차단술은 치료시간은 10분 정도로 짧고, 국소마취와 입안시술법으로 통증과 부기가 적어 항생제를 복용하지 않아도 괜찮다고 한다. 덕분에 치료 후 바로 일반식사를 할 수 있는 등 빠른 일상생활 복귀가 가능하다.
여기에 턱관절 뼈를 갈고 녹여버리는 과도한 턱힘을 완충시켜 재발을 막는 마우스피스도 당일 맞춤이 가능해 지방/해외거주자는 물론 해외의료인들도 주목하는 치료라고 한다. 특히 보톡스내성이 생긴 경우도 치료할 수 있고, 치아교정 중 또는 후에도 치료할 수 있다고 한다.






신경차단술을 치료 하는 한 원장은 “2005년부터 임상14년 검증된 신경차단술은 턱관절질환의 재발과 만성질환으로 악화시키는 원인인 이갈이 이악물기를 치료함으로써 원인치료가 가능하다. 치료 즉시 목과 어깨근육이 이완되는 효과를 치료받은 사람이 먼저 느낄 수 있다”며, “아울러 치료 3개월후에는 점차적으로 턱관절과 안면근육 긴장이 해소되면서 안면비대칭, 사각턱, 침샘비대증이 완화되어 이악물기로 인해 변한 얼굴 작아지는 효과까지 체감할 수 있다”고 전했다고 한다.