2021. 1. 11. 11:42ㆍ카테고리 없음

육종암 증상
육종암은 뼈, 근육, 연골 등 근골격계에 생기는 암으로 희귀암에 속한다고 한다. 한 해 국내 약 1600명의 육종암 환자가 발생하고 있다고 한다.
육종암은 발생하는 위치에 따라 뼈암(골육종)과 근육, 신경, 혈관, 지방 등 뼈를 제외한 연부조직에 발생하는 연부조직육종으로 나뉜다고 한다. 연부조직육종이 3분의 2를 차지한다고 한다.






뼈암은 10~20대에 잘 생기고 이후 발생이 줄었다가 50대 무렵 발생률이 높아진다고 한다. 연부조직암은 전연령대 고루 발생한다고 한다.
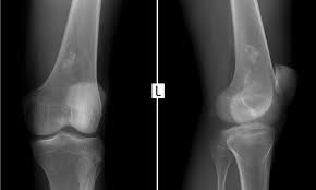
육종암 의심 증상은 해당 부위 통증이라고 한다. 다리, 골반 등이 아프다고 한다. 가벼운 운동이나 스트레칭을 하다가 뼈에 금이 가거나 골절이 생겨 엑스레이 사진을 찍어 발견하는 경우도 있다고 한다.






해당 부위 없던 통증이 1주일 이상 지속되면 검사를 받아보라는 게 전문의들의 의견이라고 한다.
육종암은 전이를 일으키면 90% 이상이 폐로 전이된다고 한다. 암세포가 혈관을 타고 돌다가 폐로 들어가기 때문이라고 한다.






따라서 조기에 발견하는 게 중요하다고 한다. 치료는 암이 발생한 부위와 그 주변 정상조직 일부를 수술로 들어내는 식으로 진행한다고 한다.
항암 치료와 방사선 치료 효과는 크지 않다고 한다. 그래서 악성도가 높은 육종암은 아직 생존율이 50~60%에 불과하다고 한다.






환자 수가 적어 항암제도 크게 발전하지 않았다고 전문가들은 말한다고 한다.
최근에는 3D 프린팅 기술을 이용해 수술로 제거한 뼈 부위에 인공 뼈를 집어넣는 치료가 진행되고 있다고 한다.