2020. 12. 25. 12:33ㆍ카테고리 없음

자궁근종 증상
직장인 김모(여·35)씨는 최근 생리통이 심해져서 산부인과를 찾았다고 한다. 초음파검사 중 1㎝ 정도 되는 자궁근종이 양쪽에 있는 것이 확인됐다고 한다. 전문의는 "크기가 크지 않으니 정기적으로 검사를 받으며 경과를 지켜보고, 과도하게 커지지 않는 이상 수술하지 않아도 괜찮다"고 했지만, 김씨는 "배가 아플 때마다 걱정이 떠나지 않는다"고 전했다고 한다.
◆자궁근종이란
자궁은 골반 안쪽에 있는 생식기관으로 수정란이 착상, 출산 때까지 태아가 성장하도록 보호하고 영양을 공급하고, 임신이 아닐 때에는 매달 생리가 이뤄지는 곳이라고 한다.






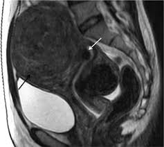
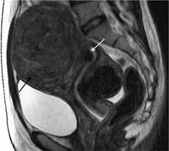
자궁근종은 자궁을 대부분 이루고 있는 평활근(smooth muscle)에 생기는 종양으로, 35세 여성에서 40% 이상이 경험하는 가임기 여성의 대표적인 자궁질환이라고 한다.
자궁근종의 원인은 아직 밝혀진 것이 없다. 여러 연구에서 자궁의 평활근을 이루는 세포 중 하나가 비정상적으로 증식, 하나의 자궁근종을 이루는 것으로 보고돼있다고 한다. 발생 원인은 명확하지 않지만, 여성호르몬(에스트로겐)이 자궁근종의 성장에 영향을 미칠 수 있어 자궁근종이 있는 여성에서는 여성 호르몬 사용에 주의를 해야 한다고 전문의들은 말했다고 한다.
증상은 자궁근종의 위치와 크기에 따라 무증상부터 다양한 증상 발생할 수 있고, 일반적으로 출혈 관련 증상이 가장 흔하다고 한다.
여성들에게 흔하게 발생하는 자궁근종이지만, 이를 제대로 알지 못해 각종 오해도 적지 않다고 한다.






가장 흔하게 접하는 오해는 '자궁근종은 유전된다'는 것이지만, 이는 사실과 다르다. 다만 식습관과 환경적인 요인 등으로 인한 가족력은 생길 수 있다고 한다. 또 자궁근종이 있으면 임신이 어렵다고 오해하는 경우도 적지 않다. 하지만 전문의들에 따르면, 자궁근종은 위치에 따라 크게 점막하, 근층내, 장막하 근종으로 나누어진다. 이 중 점막하 근종은 자궁내막을 침범하거나 인접해 있는 경우로 이럴 땐 착상을 방해하거나 유산 가능성을 높일 수 있다고 한다. 다른 위치의 근종도 임신 중 2차 변성이 발생할 수 있고 이로 인한 통증 유발 및 2차적인 조기진통이 발생할 가능성도 있다고 한다.
또 자궁근종이 있으면 자궁 전체를 떼어내야 한다고 아는 이들이 적지 않지만, 이는 사실과 다르다. 자궁근종이 있다고 무조건 수술적 치료, 특히 자궁절제술을 해야 하는 것은 아니기 때문이라고 한다. 환자의 증상·종양의 크기 등을 고려해 수술하게 되고, 수술할 경우도 환자의 나이, 특히 앞으로 임신을 원하느냐에 따라 자궁근종만 절제할 것인가 전자궁절제술을 시행할 것인가를 결정하게 된다고 한다.
자궁 절제술을 시행하면 향후 근종 및 자궁에서 생기는 질환을 예방할 수 있지만 임신이 불가능하다고 한다. 또 일부 여성들은 자궁이 없다는 것에 심리적인 영향을 받기도 한다. 자궁근종 절제술은 이후 임신을 해야 하는 젊은 여성이나 자궁을 남기기 원하는 환자에게 시행할 수 있다고 한다. 그러나 남은 자궁에서 자궁근종이 재발할 가능성이 있고, 상황에 따라 자궁근종을 완전히 절제하지 못할 수도 있다고 한다.






◆치료는 어떻게
자궁근종은 자궁 근육층에서 발생하는 양성 종양으로 무조건 수술적 치료가 필요한 것은 아니다. 하지만 드물게 검사 시 양성임을 확신할 수 없는 경우에는 수술을 시행하기도 한다.
최근에는 의술의 발달로 자궁근종 수술 기법도 개복수술에서 최소침습수술로, 현재는 로봇수술로까지 진화하고 있다고 한다. 이전에는 복부를 12~18㎝ 크기로 절개하는 개복수술이 대부분이었지만, 최근에는 최소침습수술(복강경과 내시경술), 로봇수술이 대세로 자리 잡아 가고 있다고 한다. 이는 자궁근종의 크기가 너무 크거나 복강내 유착 등 수술을 방해하는 요소가 있으면 개복수술을 해야 될 경우도 있지만, 최근에는 수술 방법과 술기가 발달해 배에 흉터가 작게 남도록 복강경 수술을 시행하는 경우가 훨씬 많다. 복강경 수술은 복부에 작은 구멍을 뚫어 수술기구를 배 안으로 집어넣어서 진행, 기존의 개복 수술에 비해 작은 수술상처, 짧은 입원기간, 빠른 일상으로의 복귀가 가능하다고 한다.
자궁근종을 제거할 시에 로봇수술을 진행하면 장점이 많다. 먼저 개복수술보다 흉터와 통증이 적고 회복 기간이 월등히 빠르다. 개복수술은 배를 열 때 공기가 유입되면서 수술 후 자궁이 다른 장기와 유착될 가능성이 있다고 한다. 복강경 수술은 최소 절개로 수술이 이뤄지지만 일직선으로 된 장비의 특성상 정교함이 떨어진다는 단점이 있다고 한다. 특히 임신을 계획하는 경우 절제 부위의 정교한 봉합이 중요한데, 근종이 자궁 내막에 가까이 있을수록 깊이 절개하고 이중삼중으로 꿰매야 해서 수술 난도가 높아진다고 한다. 로봇수술은 집도의의 미세한 손 떨림까지도 보완할 수 있고, 넓은 시야를 통해 정교한 절개와 봉합이 가능하다고 한다. 크기가 배꼽 아래까지 오는 자궁근종은 배꼽 부위를 이용한 단일공 로봇수술로 흉터가 보이지 않게 제거가 가능하다고 한다.






한 산부인과 교수는 "자궁근종은 일상생활에 큰 지장을 초래하지는 않지만 작은 통증을 지속적으로 유발한다. 문제는 일반적으로 시행하는 '자궁경부암 검사'의 경우 세포검사로, 이 검사만으로는 자궁근종을 발견하기 어렵다는 점"이라며 "자궁근종은 진찰과 함께 반드시 골반초음파 검사와 같은 영상검사를 통해 진단될 수 있는 만큼 자궁경부암 검진 시 '골반 초음파 검사'를 같이 받는 것이 좋다"고 설명했다고 한다.
그는 또 "현재까지는 자궁근종을 발병시키는 원인이 명확하지 않아 예방하는 것은 힘들지만 정기적인 검사로 조기 발견해 관리하는 것은 가능하다"면서 "부인과 질환이 대부분 증상이 유사하므로 월경 과다, 월경통, 부정출혈, 골반통 등 평소와 다른 증상이 나타날 경우, 특히 임신을 계획하고 있다면 즉시 진료를 받는 것이 좋다"고 덧붙였다고 한다.